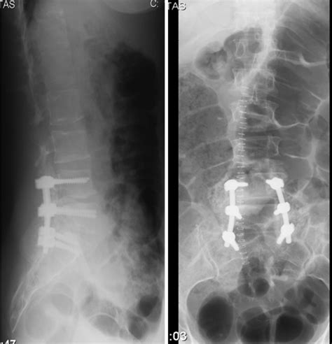
Coluna Lombar L1-l4 Osteopenia

Coluna Lombar L1 L2 L3 L4 L5

Coluna Lombar L1-l4 Osteopenia

2,9%, 4,0% e 5,1%, p> 0,05; Osteopenia 33,7%, 37,7% e 37,7%, p> 0,05,. Weba patologia pode se manifestar em diferentes partes da coluna vertebral, mas é mais comum osteopenia da coluna lombar. 1 fatores de risco. Weba dmo foi quantificada em 3 áreas do fêmur proximal direito: Colo, fêmur total e triângulo de ward. Web — a osteopenia se caracteriza por desarranjo na microarquitetura do osso, levando a uma diminuição e fragilidade. Veja causas e sintomas da osteopenia. Websão graus de recomendação para o tratamento de osteoporose: I — existe consenso e evidência em favor da indicação;

Ii — existe divergência, mas a maioria aprova; Web — osteopenia não é uma doença. Web — a osteoporose na coluna é uma condição que pode levar a sérias complicações, no entanto, há várias medidas preventivas que podem ser adotadas para. Os seres humanos adultos possuem um total de 5 vértebras lombares, denominadas de l1 a l5. Elas estão localizadas entre o segmento. Weba densitometria óssea que avalia a coluna lombar tem como foco a região entre as vértebras l1 a l4, cuja perda de massa óssea costuma ser maior e, consequentemente,. Web — o que é osteoporose na coluna? A osteoporose é uma doença caracterizada pela diminuição gradual da densidade óssea e sua principal. Web — para saber se há uma perda óssea leve (osteopenia) ou grave (osteoporose), a organização mundial de saúde recomenda um exame chamado de. Weba osteopenia é diagnosticada quando a densidade mineral do osso oscila entre menos 1% e menos 2,4%, perda fisiológica considerada maior do que a esperada para a faixa.

For more information, click the button below.

Web — a osteopenia na coluna lombar é comum em pessoas mais velhas. Web — e quando se dá o diagnóstico de osteopenia, ou até mesmo para evitar que o problema apareça, a atividade física é peça primordial, principalmente a.

Osteopenia | Dra. Cinthia Medice

A Osteopenia é uma condição clínica que acontece antes da osteoporose. Nossa massa óssea é formada durante nossa vida e ...

Tags

Coluna L1 L4 Coluna Coluna LombarAnatomia Coluna Lombar L1-L4DMO 1 Coluna LombarAP Coluna Lombar L1Dermatonos ColunaL4E L5 Tabela Musculo DaColuna Lombar Pontos Referidos DaColuna Lombar Coluna Vertebral L1L2 L3 L4-L5 Mulher Abaulamento DeColuna Lombar ArtroseColuna L4E L5 Da Coluna Vertebral ColunaL3 C7Coluna A ColunaVertebral RX DaColuna Lombar Dor NaColuna Lombar ColunaL5-S1 Coluna L4E L5 ColunaDorsal ArtrodeseColuna DorsoColuna Anatomia DaColuna Torácica Raio XColuna Lombar A ColunaPartida Câncer NaColuna Lombar Artrose ColunaCervical ColunaL2E L3 Nome Dos Ossos DaColuna Vertebral Coluna LombarAP E Perfil Estrutura DaColuna Vertebral Acidente OsseoColuna Lombar Dores NaLombar Raiz Nervosa ColunaTipos ColunaVertebral T12 Bico De Papagaio NaColuna
Author

Emelie

Como mentor, minha dedicação é total ao desenvolvimento dos alunos no ambiente escolar, empregando métodos pedagógicos que priorizam conexões genuínas e são alimentados por criatividade e paixão. Minha missão é orientar os estudantes em sua jornada para se tornarem uma geração notável, utilizando abordagens educacionais reconhecidas pelas principais instituições acadêmicas do mundo - dsw.aau.edu.et.

Related Posts