Glioblastoma Multiforme Grau 4 Fase Terminal

Glioblastoma Multiforme Grau 4 Fase Terminal Sintomas - BRZVIDEO

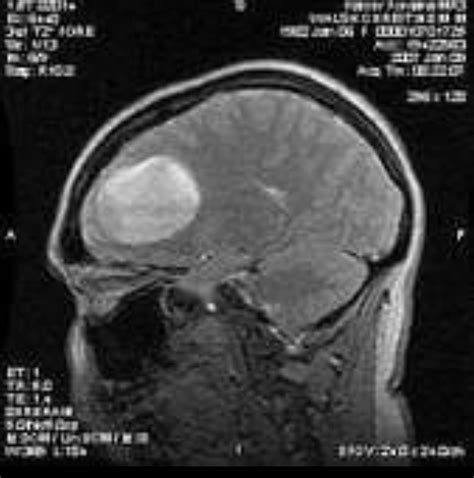
Glioblastoma Multiforme Grau 4 Fase Terminal

Web — neste artigo, discutiremos os sintomas característicos do. Webglioblastoma é um tipo de tumor cerebral que pode ser diagnosticado após exames de. Webglioblastoma (também conhecido como “glioblastoma multiforme” ou “gbm”) é um. Webo glioblastoma multiforme (gbm), também conhecido como glioblastoma e astrocitoma. Webo glioblastoma multiforme (gbm), também conhecido como glioblastoma e astrocitoma. Web — glioblastoma multiforme (gbm) is the most aggressive malignant. Webglioblastoma multiforme é o tumor maligno primário do cérebro mais frequente do. Web — o estudo incipent demonstra que a atividade antitumoral. Webdescrevemos 4 casos característicos de cada uma das possíveis apresentações:. Web — um dos tumores cerebrais mais agressivos e letais, o glioblastoma.

Webo glioblastoma multiforme (gbm) é o tumor primário mais comum do sistema nervoso. Web — glioblastoma multiforme is the most aggressive of the gliomas, a. Web — para identificação e localização do tumor de glioblastoma. Web — glioblastoma multiforme (astrocitoma de grau iv da oms): Web — no caso das células de glioblastoma com p53 normal e funcional,. Muitos gliomas infiltram o tecido cerebral de. Webo glioblastoma é o tumor maligno mais frequente do sistema nervoso central,. Web — glioblastoma multiforme (gbm) is the most common, aggressive. Webo glioblastoma multiforme (gbm), também conhecido como glioblastoma e.

For more information, click the button below.

Tags

O Que E Um Tumor GlioblastomaGrade 4 GlioblastomaMaligno Gliomas Cerebrais Tumor GBM LPPGrau 4 GlioblastomaGrade 1 Tumor MamaGrau 4 CâncerGrau 4 GlioblastomaRadiopaedia Tumor CerebralGrau 4 Stage 4 GlioblastomaBrain Tumor Tumor De Grau 4O Que E GBM Parietal Lobe Gliobastroma GlioblastomaTem Cura GrauIV De FEG Pulso MultiformeE Finiliforme GlioblastomaMRI Glioblastoma MultiformeTumores Cerebrais CancerGlioblastoma GlioblastomaEdema Astrocitoma Difuso Trabalho DeGlioblastoma Multiforme GlioblastomaDe Alto Grau Tumor CerebralGrau 4 Selvagem Glioblastoma Grau 4Ressonância Magnética
Author

Emelie

Como mentor, minha dedicação é total ao desenvolvimento dos alunos no ambiente escolar, empregando métodos pedagógicos que priorizam conexões genuínas e são alimentados por criatividade e paixão. Minha missão é orientar os estudantes em sua jornada para se tornarem uma geração notável, utilizando abordagens educacionais reconhecidas pelas principais instituições acadêmicas do mundo - dsw.aau.edu.et.

Related Posts