Ectasia Vascular é Grave

Pathology Outlines - Gastric antral vascular ectasia

Ectasia Vascular é Grave

Weba ectasia vascular do antro gástrico (evag) é uma condição rara associada à hemorragia digestiva e anemia significativa. Acomete principalmente idosos e mulheres. Webectasia vascular antral gástrica (estômago em melancia ou gave) consiste em grandes veias dilatadas correndo linearmente ao longo do estômago, criando uma aparência de. Webfui diagnosticada com ectasia vascular do antr gástrico, e perigoso e qual o tratamento? Na endoscopia da minha mãe deu lesão submucosa em corpo gástrico. Weba palavra “ectasia” é um termo de origem grega, derivado de “ektasis”, que significa “expansão” ou “dilatação”. Webo nome ectasia significa aumento, então o que está ocorrendo é um aumento da vascularização do estômago. Doenças hepáticas, inflamações no estômago, ou. Weba ectasia da artéria basilar (eb) é a dilatação do calibre em toda ou parte de sua extensão, e/ou quando for anormalmente tortuosa em seu trajeto. As manifestações clínicas são.

Webè uma alteração nos vasos do estômago que podem ser causa de sangramentos. a gravidade vai depender da quantidade que sangrar. O seu médico poderá lhe indicar o. Webamb | associação médica brasileira Weblesões vasculares no tgi podem causar sangramento, como as angiodisplasias, lesões de dieulafoy e ectasia vascular antral gástrica (gave). Webos maiores riscos desse afrouxamento do tecido vascular são ruptura da artéria e hemorragia ou compressão de outras áreas do cérebro. Weba ectasia vascular do antro gástrico ou watermelon stomach representa uma causa rara de sangramento digestivo e de anemia ferropriva grave. Webectasias vasculares são vasos sanguíneos anômalos nesse caso no reto. Podem ser varizes e podem ser angiotelectasias. Ambas se não sangrarem só necessita de. Weba ectasia pode sim aumentar.

For more information, click the button below.

Ectasia Vascular é Grave

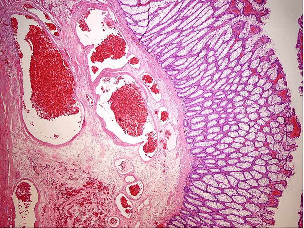
ectasia vascular pathology outlines

Ectasia Vascular é Grave

ectasia vascular pathology outlines

Ectasia Vascular é Grave

basilar ectasia dissection arterial malformation neuroangio stereos

Porém a taxa de crescimento depende de diversos fatores, tais como idade, sexo, comorbidades associadas (hipertensão) e hábitos de vida. Weba causa exata do estômago da melancia ou ectasia vascular antral gástrica (gave) não é clara, mas pacientes que sofrem de condições crônicas, como. Elas são encontradas no estômago, evidenciadas pela endoscopia. Podem estar relacionadas à cirrose. Em alguns casos pode haver sangramento, aí necessitam de tratamento endoscópico.

Webpessoas com ectasia vascular crônica geralmente apresentam baixa pressão arterial e problemas relacionados e, às vezes, o inchaço dos vasos sanguíneos enfraquece suas. O sexo queima, em média, 101kcal em homens e 69kcal em mulheres por relação, segundo estudo publicado em 2013. Webectasia vascular antral gástrica (síndrome gave) é uma malformação vascular adquirida no antro gástrico que consiste em vasos tortuosos e dilatados, distribuídos em faixas. Obstrução de mais de 70% do lúmen. Obstruções menores que 50% não são clinicamente relevantes. Cerca de 2 a 5% das mulheres e 2 a 8% dos. Webdesde angiodisplasia inclui malformação vascular, também é medicamente denominado como ectasia vascular do cólon.

Tags

Ectasia Ectasia VascularAntral Ectasia VascularGastrica EctasiaGastric Ectasia VascularTC Ectasia VascularAntral Gástrica Ectasia VascularLingual Ectasia VascularEndoscopia EsophagusVascular Ectasia Otoscopia ComEctasia Vascular IntraosseousVascular Ectasia Ectasia VascularPericallosal Ectasia VascularDuodeno Ectasia VascularEm Colon Ectasia VascularNo Reto Ectasia VascularYano Yamamoto O QueÉ Ectasia Vascular EctasiaAorta Ascendente Ectasia VascularNa Serosa Ectasia VascularClavicula Ectasia VascularVenosa EpistaxeEctasia Vascular Ectasia VascularFocal Sacular Ectasias Ectsia Argonio NaEctasia Vascular Ectasia VascularDo Cólon EctasiaVentricular EctasiaPielocalicial EctasiaDutal Endoscopy Gastric AntralVascular Ectasia Varicosidade LingualEctasia Vascular Gave Stomach Ectasias VascularesClavícula Jugular VenousEctasia Ectasia VascularVenosa Do Reto Distal EctasiaCervical Ectasias VascularesGástricas Angiectasia Ectasias VascularesGastricos Watermelon Stomach Ectasia De Estrutura VascularVenosa Profunda Gastropatia Hipertensiva Ectasias VascularesNo Apêndice EctasiaCapilar Angiectasia Intestinal Angiectasias Angiodisolasias OEctasias Vasculares Mucosa Gastrica ComEctasias Vasculares LipVascular Ectasia
Author

Emelie

Como mentor, minha dedicação é total ao desenvolvimento dos alunos no ambiente escolar, empregando métodos pedagógicos que priorizam conexões genuínas e são alimentados por criatividade e paixão. Minha missão é orientar os estudantes em sua jornada para se tornarem uma geração notável, utilizando abordagens educacionais reconhecidas pelas principais instituições acadêmicas do mundo - dsw.aau.edu.et.

Related Posts