Mioma Calcificado é Perigoso

Mioma Calcificado & Embarazo & Placenta Hiper-madura

Mioma Calcificado é Perigoso

Webo aspeto ecográfico deste tipo de miomas é difícil de distinguir dos outros miomas, especialmente os que têm grandes dimensões. Esta situação deve ser distinguida da de. O mioma no útero é o tumor benigno mais frequente nas mulheres. Ele pode aparecer em diferentes locais e ter vários tamanhos. Webapenas a retirada do mioma e avaliação pelo patologista pode dar esse diagnóstico. A necrose e as calcificações não necessariamente significam que este mioma é maligno. Um mioma uterino (também designado por fibroide, leiomioma ou fibromioma) é um tumor benigno que cresce no tecido do útero, sendo muito raro malignizar. Não, os miomas são tumores benignos, ou seja, as células são semelhantes às do tecido normal e não têm a capacidade de provocar. Webo mioma intramural é um tipo de tumor benigno que pode provocar sintomas como dor, cólicas e alterações menstruais. Entenda melhor porque acontece, quais os sintomas,.

Webas queixas mais frequentes relacionadas ao aparecimento de miomas são: Aumento do fluxo menstrual, podendo chegar a ocorrência de coágulos, dor no. Webo leiomioma uterino, mioma ou fibroma, é um tumor sem malignidade, que nasce no útero na idade fértil. O pico de incidência é aos 40 anos, mas pode atingir. Os miomas uterinos (leiomiomas) são tumores benignos do útero compostos principalmente por músculo liso e tecido conjuntivo fibroso. Webo mioma uterino pode causar diversos sintomas como aumento do sangramento menstrual e cólicas. Além disso, os sintomas podem variar de acordo com o tamanho, a. Webo mioma subseroso é um tipo de tumor que se desenvolve na superfície externa do útero e, quando grande, pode comprimir órgãos próximos, provocar dor no abdome e. Webos fatores de risco para o desenvolvimento de miomas incluem idade, sendo mais comum em mulheres entre 30 e 50 anos, histórico familiar, obesidade e. O mioma é um tumor benigno do útero presente em 40 a 80% das mulheres, com risco de malignidade muito baixo.

For more information, click the button below.

Apenas 20% das mulheres com. Tudo o que você precisa saber para sua prática clínica! O mioma consiste em um tipo de tumor benigno que se manifesta no miométrio. Webos miomas podem apresentar algumas alterações. Entre elas podemos destacar, as degenerações:

Hialina, cística, mucóide, vermelha, gordurosa,. A cirurgia de mioma é indicada nas seguintes situações: Sangramento vaginal excessivo, que não melhora com o uso de remédios; Webo mioma é um tipo de tumor benigno que se forma no útero e que pode causar sintomas como cólicas, sangramentos ou dificuldade para engravidar. Entenda o que é mioma,. Debora santos dos santos. Mioma é um nódulo benigno do útero e pode estar em três localizações diferentes no órgão. Webo mioma é um tumor benigno que acomete o útero, pode se desenvolver durante a idade fértil da mulher e pode provocar sangramento excessivo ou. Webdor na lombar e no abdômen; Dor ao ter relações sexuais;

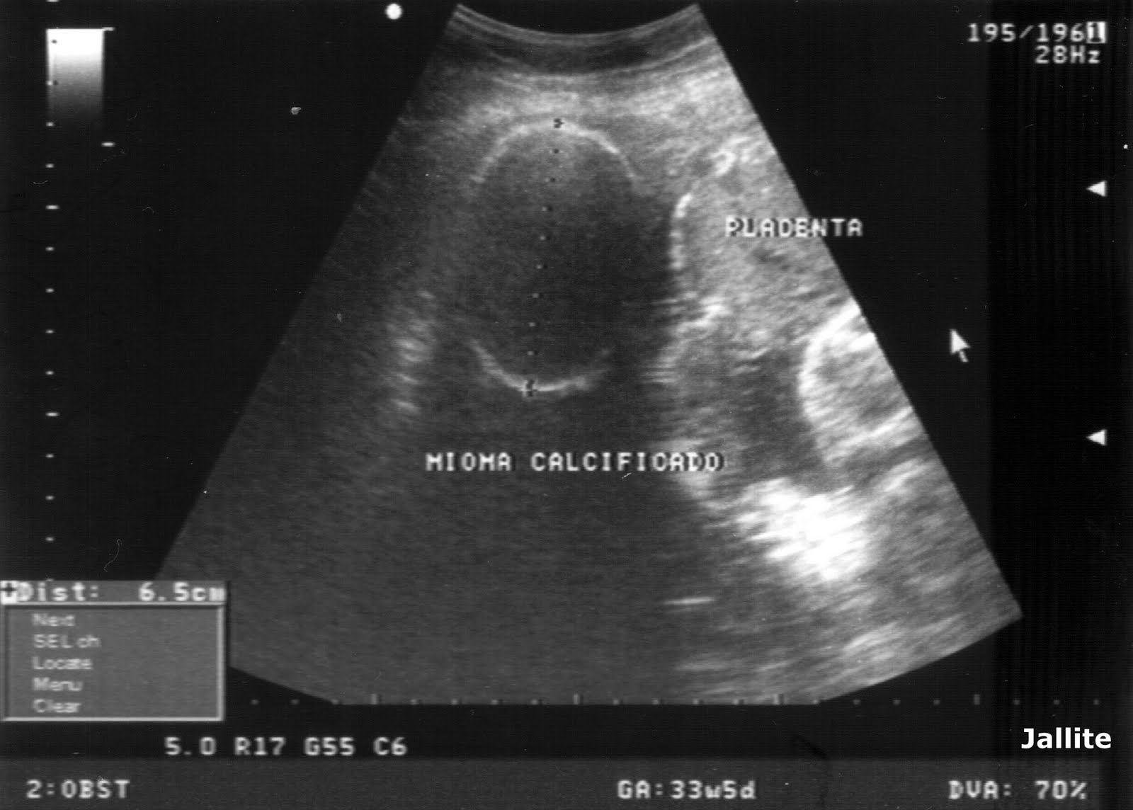
O MIOMA CALCIFICOU É NORMAL

(31) 31 99696-3581 (31) 2510-3335 Instagram: @ilveudias clinicalsemper.med.br ilveufiv@gmail.com.

Dificuldade para engravidar ou mesmo infertilidade. Como é o tratamento de.

Tags

MiomaPediculado MiomaTransmural MiomaEndometrial MiomasSubserosos Cirurgia DeMioma MiomasUterinos MiomaFotos MiomasSintomas Mioma5Cm MiomaUSG Fibroma Uterino MiomaIntramural Mioma3Cm Colapso Uterino MiomaUltrassom BebêCalcificado MiomaExame Fibromioma Uterino MiomaCID 10 Mioma7 Cm MiomasCirugia Imagem DeMiomas MiomaRX Utero Miomatoso MiomaAbdominal Miometrio Uterino EsmegmaCalcificado Leiomioma Uterino MiomaTC MiomaUterino Gigante MiomaPedunculado FICOMioma MiomaQue Tem Cabelo E Dente 3 Semanas De Gestação Colo Do ÚteroCalcificado MiomasUterinos Gigantes CID ColicaMioma Ultrassom TransvaginalMioma MiomaParido USG Imagem Do FetoCalcificado FilhotesCalcificado MiomaCancerigeno Fibroma O QueÉ MiomaNa Usg Mola Uterina Radiografia BaçoCalcificado MiomaDegenerado USG EcografiaMioma Fibrose Uterina MiomaPedicolada
Author

Emelie

Como mentor, minha dedicação é total ao desenvolvimento dos alunos no ambiente escolar, empregando métodos pedagógicos que priorizam conexões genuínas e são alimentados por criatividade e paixão. Minha missão é orientar os estudantes em sua jornada para se tornarem uma geração notável, utilizando abordagens educacionais reconhecidas pelas principais instituições acadêmicas do mundo - dsw.aau.edu.et.

Related Posts