Freio Labial Superior Rompido

Freio Labial Superior | Odontologia | Dra Bianca Rosa - YouTube

Freio Labial Superior Rompido

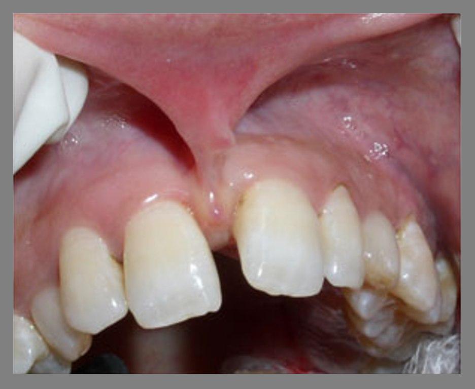
Weba relação entre o diastema na linha média superior (diastema) e o freio labial superior (fls) (freio) tem sido objeto de muitas controvérsias e. Webo tratamento de um freio labial superior anômalo é sempre cirúrgico e tem como objetivos eliminar o excesso de tecido interdentário, diminuir a tensão dos tecidos. Weba própria movimentação da língua pode causar alguma úlcera no freio lingual por conta da extensão do movimento da musculatura, geralmente irá retornar ao normal em poucos. Webo freio labial superior possui a função de promover estabilidade na linha média do lábio e impedir a excessiva exposição da gengiva. A desinserção do freio pode levar a. Webfrenectomia é o nome dado à cirurgia responsável pela remoção do freio da boca. O freio se trata de uma “prega” fina de tecido fibroso, e quando. Websegundo delmondes et al. (2021) o freio labial superior está localizado na face interna do lábio na linha mediana, na junção dos maxilares e tem. O freio labial superior é uma estrutura anatômica triangular que sofre alterações de forma, função e posição durante o desenvolvimento da criança.

Webo presente estudo foi realizado com objetivo de relatar o diagnóstico e tratamento de um caso clínico de freio labial inferior com inserção marginal, causando retração gengival. Webfrenectomia é o nome da cirurgia onde se reduz o freio labial que pode ser superior ou inferior, ou então o freio lingual. O objetivo é soltar a língua para permitir a fala, a deglutição e o movimento. Webfreios labiais (superior e inferior), localizados na linha mediana, sendo visíveis quando levantamos o lábio superior ou baixamos o inferior, e que se estendem desde o interior. Weba frenectomia nada mais é do que a cirurgia realizada para remover o freio labial ou lingual, uma condição que pode afetar significativamente a vida do. Weba cirurgia de freio labial, também conhecida como frenectomia labial, consiste em cortar e remover o freio para a correção do problema. Webo frênulo labial superior tem recebido maior atenção por estar entre as causas do diastema entre os incisivos centrais superiores 2,10,13,15,16,17,19,21,27,47, assim. O objetivo é soltar a língua para permitir a fala, a.

For more information, click the button below.

Freio Labial Superior Rompido

freio labial cirurgia do para retirada

Frenectomia - Cirurgia de Freio Labial - Frenectomia Labial

Recomendamos o Cirurgião Dentista Dr. Filipe Shimodo - WHATSAPP - 11 95362-8847 CONTATO: ...

Tags

Freio Labial SuperiorBebê Freio LabialSuerior RX FrenectomiaLabial Superior Freio LabialDiastema Remoção DeFreio Labial SorrisoFreio Labial Superior Cirurgia DeFreio Labial Superior CausasFreio Labial Freio Labial SuperiorLateral Brida EFreio Labial PregaLabial Superior Hiperplasia DeFreio Labial Superior Mapa MentalFreio Labial Lesão Couve Flor EmFreio Labial Superior AulaFreio Labial Freio LabialSuerior W Invertido FreioMlabial Superior Freio Labial SuperiorGrande LevantadorLabial Superior Freio LabialInfantil Cirurgia DoFreio Labial Frio Labial SuperiorBaixo Papula De Trauma EmFreio Labial Superior Inserção BaixaFreio Labial Freio LabialInferior Retração Alivio EmFreio Labial Superior Protese Cirurgia Freio Labial SuperiorPasso a Passo Freio LabialPaciente Com Protese Freio LabialDe Inserção Ampla Freio LabialRasgado Em Criança FreiosLabiais Superiores E Inferiores Freio LabialPaciente Sem Dente Passo a Passo Da FrenectomiaLabial Superior Frenectomia Labial SuperiorEm Bebe Freio LabialLingua Em Coração Sangue Preso NoFreio Superior Da Boca Freio LabialNormal Fase Do Patinho Feio Infeccao FreioPrepucial Rompido Freios LabialsDesenho Freio LabialNa Fase Do Patinho Feio Dentição Falhas Dentárias Da BateriaLabial Superior Freio LabialInferior Em Recem Nascidos Frectomia LabialmSuperior Freio LabialBebê Freio LabialCriança Imagens DeFreio Labial Levantador Do LabioSuperior Freio LabialInferior Freio RompidoNa Lingua Freno LabialRetirada
Author

Emelie

Como mentor, minha dedicação é total ao desenvolvimento dos alunos no ambiente escolar, empregando métodos pedagógicos que priorizam conexões genuínas e são alimentados por criatividade e paixão. Minha missão é orientar os estudantes em sua jornada para se tornarem uma geração notável, utilizando abordagens educacionais reconhecidas pelas principais instituições acadêmicas do mundo - dsw.aau.edu.et.

Related Posts