Atipia De Significado Indeterminado

Atipias De Significado Indeterminado - EDULEARN

Atipia De Significado Indeterminado

Avaliar aspectos clínicos, colposcópicos e acompanhamento citológico de quadros classificados como atipias de células escamosas de significado. Webatipias possivelmente não neoplásicas ou células escamosas atípicas de significado indeterminado (ascus): Indicam alterações celulares que possivelmentenão. Webesse resultado do preventivo está alterado. É necessário saber se a atipia é de significado indeterminado, baixo grau ou alto grau, a partir dessa informação, da. Webascus significa células atípicas de significado indeterminado, mas com origem provavelmente benigna. É uma alteração bastante comum, pode significar infecção por. Webo acrônimo ascus significa células escamosas atípicas de significado indeterminado (atypical squamous cells of undetermined significance). Weba terceira categoria desta classificação, denominada de atipia de significado indeterminado ou lesão folicular de significado indeterminado (asi/lfsi), está. Webo resultado de células atípicas de significado indeterminado, possivelmente não neoplásicas (ascus) pode ser encontrado em inúmeras condições benignas do colo.

Webvocê teve uma atipia de células glandulares de significado indeterminado e não podendo afastar a lesão de alto grau no colo uterino. Você deverá fazer uma. O termo “agus (atipias glandulares de significado indeterminado)” foi excluído, sendo estabelecido o termo “atipias em células escamosas (agcs)” para. Weba categoria diagnóstica células escamosas atípicas de significado indeterminado (ascus) pode ser definida como um resultado de caráter indeterminado, na qual os. Webatipias de células glandulares em esfregaços cervicovaginais é um achado citológico na rotina de rastreamento do câncer cervical, que aumentou nas últimas décadas. Webclasse iii (atipia ou significado indeterminado ou lesão folicular de significado indeterminado): Foram encontradas células com alterações e não é possível descartar. Webquando não houver presença de atipias, não altera a rotina de rastreamento. Só deverá ser tratada quando o laudo do exame citopatológico. Webo termo atipia escamosa de significado indeterminado (ascus) foi introduzido pelo sistema de bethesda em 1988, gerando diversas discussões a respeito do abuso deste.

For more information, click the button below.

Weba categoria “atipia de significado indeterminado/lesão folicular de significado indeterminado” (bethesda iii) passa a se chamar apenas “atipia de significado.

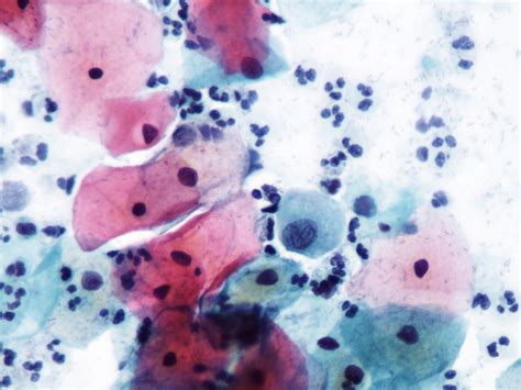
🚨 ASCUS | Células escamosas atípicas de significado indeterminado 🔬🩺

En el video de hoy, exploramos el término médico "Células escamosas atípicas de significado indeterminado" o ASCUS, ...

Tags

Significado DeCores ArticulosIndeterminados SistemaIndeterminado CélulaSignificado DeterminadoSignificado Significado DeFusiforme AtipiaHistologia EscamoSignificado O Que Significa Indeterminado NoduloSignificado AtipiaSignificato PrevalenciaSignificado Sujeito IndeterminadoExemplos Articulos Determinados EIndeterminados ReportSignificado TemplateSignificado Celulas Escamosas Atipicas
Author

Emelie

Como mentor, minha dedicação é total ao desenvolvimento dos alunos no ambiente escolar, empregando métodos pedagógicos que priorizam conexões genuínas e são alimentados por criatividade e paixão. Minha missão é orientar os estudantes em sua jornada para se tornarem uma geração notável, utilizando abordagens educacionais reconhecidas pelas principais instituições acadêmicas do mundo - dsw.aau.edu.et.

Related Posts