água Na Pleura Em Idosos

Derrame pleural (água na pleura): saiba quais são as 3 causas mais

água Na Pleura Em Idosos

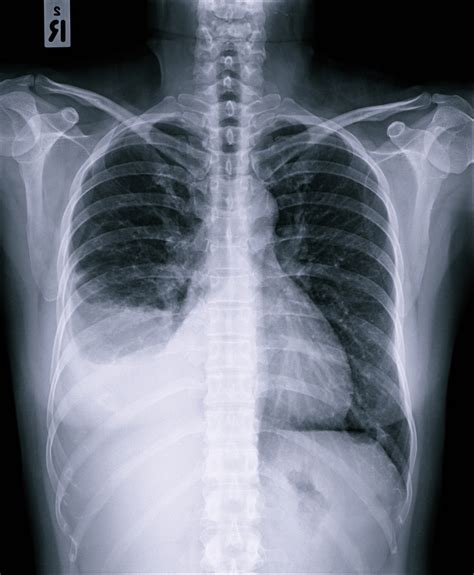
Web — quando alguma enfermidade atinge as pleuras, sobretudo se infecciosas, esse líquido é produzido em grande quantidade e se acumula entre suas. Webo tratamento para água no pulmão pode ser feito com oxigenoterapia, para melhorar a oxigenação do corpo, além do uso de remédios, como furosemida ou nitroglicerina, que. Web — já imaginou ter água no seu pulmão sem ter se afogado? Parece absurdo, sim, mas é quase o que acontece quando temos um derrame pleural. Web — um derrame pleural é um acúmulo de líquido no espaço pleural, uma área entre as camadas de tecido que revestem os pulmões e a cavidade torácica. Web — derrame pleural também conhecido como água na pleura ou água no pulmão é quando ocorre um acúmulo anormal de líquidos na pleura, que é uma fina. Weba água na pleura em si, não é perigosa no sentido de levar alguém a óbito. Inclusive, é muito incomum que o derrame pleural seja a causa da morte de uma pessoa. Webo derrame pleural é o acúmulo anormal de líquido no espaço pleural (o espaço entre as duas camadas da membrana fina que reveste os pulmões). O líquido pode se acumular.

Webdepende principalmente da sua causa e se existem outras doenças no idoso. Importante sempre descobrir sua origem. Procure um médico pneumologista com experiência em. Webo problema da água no pulmão é mais frequente em idosos, por apresentarem mais alterações de saúde, mas também pode acontecer em pessoas jovens ou até em. Água no pulmão ou na pleura tem muitas causas. Web — os idosos estão em risco aumentado de derrame pleural devido a uma combinação de fatores relacionados à idade, comorbidades e exposições ao longo. Web — o derrame pleural ocorre quando há acúmulo anormal de líquido na cavidade pleural, o espaço entre as membranas que revestem os pulmões e a parede. Web — a água no pulmão também ocorre quando outra estrutura que fica no tórax acumula líquido: A pleura é uma membrana dupla que. Este é resultado do acúmulo anormal de fluidos entre a pleura visceral e a pleura.

For more information, click the button below.

Muitas podem ser as causas que conduzem à ocorrência de água no pulmão. Dentre as possíveis, as mais comuns são: Em consequência disso, há uma compressão do órgão, dificultando a respiração,. Web — homem foi visto desacordado na água; Corpo de bombeiros e samu foram acionados.

Um idoso de 66 anos morreu enquanto surfava em uma piscina de ondas. Web — o derrame pleural ou derrame no pulmão, também conhecido como água nos pulmões, é o acúmulo de líquido no espaço entre as pleuras, duas. Weba água no pulmão, conhecida cientificamente como edema pulmonar, acontece quando os pulmões ficam cheios de líquido, o que interfere na respiração, já que impede a. Web — o tratamento do derrame pleural é essencial, não só para aliviar os sintomas, mas também para prevenir complicações graves. Web — o derrame pleural, ou água no pulmão, é o acúmulo de líquidos dentro da pleura, membrana que reveste o pulmão. Esse acúmulo comprime o órgão e. Web — uma idosa, de 89 anos, sofre de demência e vive totalmente negligenciada num prédio, em lisboa. As alterações comportamentais são muito graves.

Derrame pleural (água na pleura): saiba quais são as 3 causas mais comuns

Derrame pleural ou água na pleura e causado por 3 doenças mais comuns que são a tuberculose pleural, o câncer de pulmão e ...

Tags

IdosoTomando Agua IdososBebendo Agua IdosoAgua PNG Maquina ColocarIdosos Agua IdososBebesdo Agua IdosoBebendo Água IdosoAgua Saborizada IdosoMarca Dgua IdososBebendo Agua Desenho Beber AguaIdoso Beba Agua Idosas IdososBebendo Agua Nocturia Agua Livre Idosa IdososSegurando COPO De Agua Fotos De Natureza Agua EOSIdosos Imagem De Garrafa Com Idosos Tomando Agua Fotos De IdososBem Saudaveis Bebendo Agua Saboriza Mini AgaIdoso Gua ShaIdoso IdosoTomando Aguaa Agua IdosoSal Idosa BebendoÁgua Idodos TomandoÁgua Imagnes De IdososDormindo E Tomando Agua Agua De Pedra AguaE a Saude Dos Idosos Hidrantante DoIdoso Hidratação DoIdoso Hidratante ParaIdoso IdososTomando Água Beber AguaIdosos Avatar Lembrete De Tomar Agua ParaIdosos Idoso NaAgua Idoso Na Água ÁguaPara Idosos Pessoas Utilizando Agua Agua No Corpo DoIdoso Idoso Tomando ÁguaDesenho Doso Bebendo Agua IdosoIngerindo Água Idoso Bebendo ÁguaDurante a Noite Idosa Com Balde DeÁgua BocaIdoso Charge BebendoÁgua Idosa Segura Balde DeÁgua Idosa Do Drip IdosoNo Verão IdosoEsportista Bebendo Agua Foto DeÁgua Para Idosos Idosa Correndo PNG Mistura Engroçar aAgua Para Idoso
Author

Emelie

Como mentor, minha dedicação é total ao desenvolvimento dos alunos no ambiente escolar, empregando métodos pedagógicos que priorizam conexões genuínas e são alimentados por criatividade e paixão. Minha missão é orientar os estudantes em sua jornada para se tornarem uma geração notável, utilizando abordagens educacionais reconhecidas pelas principais instituições acadêmicas do mundo - dsw.aau.edu.et.

Related Posts