Trissomia No Cromossomo X

Sintomas De Trissomia X - MODISEDU

Trissomia No Cromossomo X

Webos tipos mais comuns de trissomia que não impedem o nascimento ocorrem nos pares de cromossomos 8, 9, 13, 18 e 21, além do 23º par, dos. Weba trissomia 13, também chamada de síndrome de patau, é um distúrbio congênito (presente no nascimento) associado à presença de uma cópia extra do cromossomo 13. Weba trissomia do x é uma anomalia de cromossomo sexual comum, na qual as meninas nascem com três cromossomos x (xxx). Cromossomos são estruturas dentro das células que contêm dna e muitos genes. Os genes contêm instruções que definem como deve. Weba trissomia do cromossomo 10 indica que existe um cromossomo adicional, elevando o número total de cromossomos para 47 (três cópias ao invés de. Weba trissomia x é uma anomalia dos cromossomas sexuais com um fenótipo variável causada pela presença de um cromossoma x extra em indivíduos do sexo feminino. Webum par de cromossomos x e y (xy) determina o sexo masculino e um par de cromossomos x e x (xx) determina o sexo feminino. Na síndrome do triplo x, o. Webtrissomia é um tipo de mutação cromossômica numérica, que apresenta uma cópia extra (total ou parcial) de um ou mais (trissomia dupla, tripla) cromossomos do cariótipo.

Webtrissomia do 18 é causada por um cromossomo 18 extra e geralmente está associada à deficiência intelectual, pequenez ao nascimento e muitas anomalias congênitas,. Webtriplo síndroma x (também conhecida como trissomia x) é uma forma de cromossómica variação caracterizada pela presença de um extra cromossoma x em cada célula de. Weba partir da amizade com adriele, alex decidiu mudar de área e se especializar em pedagogia para pessoas com trissomia do 21 (a síndrome de down é causada por. Weba síndrome de patau, também chamada de trissomia 13, é uma síndrome que ocorre quando algumas ou todas as células do corpo têm uma cópia. Weba síndrome do x triplo, também conhecida pelo nome de trissomia do x, é uma condição genética patológica encontrada apenas em mulheres, onde elas. Weba síndrome de edwards, também conhecida como trissomia 18, é uma doença genética muito rara que provoca malformações graves como microcefalia e problemas cardíacos. Weba alteração acontece, pois, em vez de dois cromossomos no 21º lote, ocorrem três, ou seja, uma trissomia no cromossomo 21. Logo, a síndrome de down também é conhecida. Webapresentar o quadro clínico de pacientes com trissomia, tetrassomia e pentassomia do cromossomo x. Apresentar o quadro clínico de pacientes com trissomia, tetrassomia e pentassomia do cromossomo x.

For more information, click the button below.

Trissomia No Cromossomo X

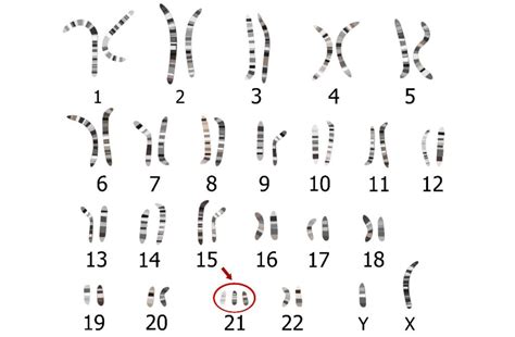
trissomia cromossomos fenótipo anomalias sexuais gravidade clínicas número

Webanalisando o cariótipo de uma pessoa, um pesquisador percebeu uma trissomia no cromossomo 21 e a presença de dois cromossomos sexuais x. Weba trissomia do cromossomo x, ou síndrome triplo x, ocorre devido a presença de três cópias do cromossomo x, totalizando 47 cromossomos. Weba trissomia do x é como o oposto da síndrome de turner: Em vez de ter menos de dois cromossomos x, uma menina com trissomia do x tem um cromossomo x extra em. Webé uma anomalia no cromossomo 21 que pode causar deficiência intelectual, microcefalia, baixa estatura e face característica.

O diagnóstico é sugerido por anomalias física e.

Em mulheres, cromossomo X desliga antes do que se pensava

este vídeo faz parte de uma reportagem em seis vídeos que pode ser vista por completo neste link: goo.gl/WtE7bF ] Em ...

Tags

Cromossomo X Sindrome DaTrissomia Cromossomo 13 Sindrome DeTrissomia Do Cromossomo 13 TrissomiaCromoossomo 13 Trissomia Do Cromossomo22 TrissomiaCromosomo 16 PentassomiaDo Cromossomo X Trissomia Do Cromossomo21 Nasce so Com Um Olho Congênita Decorrente DaTrissomia Do Cromossomo 13 Síndrome Do Cromossomo XFrágil Trissomia X Trissomia Cromossomo21 Trissomia Do Cromossomo8 Trissomia No CromossomoYEX Trissomia Do Cromossomo8 Tratamento Trissomia Do Cromossomo8 Causas Trissomia DoGene X Trissomia Do Cromossoma13 Trissomia Do XFenotipo Trissomia No Cromossomo23 Trissomia Do Cromossomo17 Trissomia Cromossomos13 Características Da Síndrome De EdwardsTrissomia Do Cromossomo 21 Trissomia21 Simples Trissomia Do X Cromossomo5 Cromosoma 46Cromossomos Trissomia Do Cromossomo21 Cromosomas Cariotipo 22Cromossomos Cromossomo16 Trissomia 23 Pares DeCromossomos Trissomia Do Cromossomo9 45Cromossomos Cromossomo13 CromosomA autosomico Síndrome De AngelmanCromossomo CromossomoGenética Trissomia XImagem De Cromossomo Sindrome De DownCromossomos CromossomoDa Síndrome De Down Imagens De CromossomasCom Trissomia 21 Sindrome DoTriplo X CromossomosAnormais Ciclo Celular ANOMALIAS Cromosomicas Caracteristicas Da Sindrome De Down Síndrome De Down Biologia CromossomoMitotico
Author

Emelie

Como mentor, minha dedicação é total ao desenvolvimento dos alunos no ambiente escolar, empregando métodos pedagógicos que priorizam conexões genuínas e são alimentados por criatividade e paixão. Minha missão é orientar os estudantes em sua jornada para se tornarem uma geração notável, utilizando abordagens educacionais reconhecidas pelas principais instituições acadêmicas do mundo - dsw.aau.edu.et.

Related Posts