Raio X De Ombro Incidencias

Apostila sobre a aula de incidências do ombro

Raio X De Ombro Incidencias

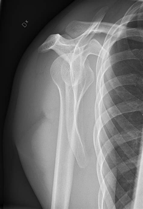
Webo exame de raios x é feito para avaliar diferentes partes do corpo do paciente, como contusões e fraturas nos ossos e na musculatura, pode ajudar a mostrar alguma. Webincidência axilar incidência y de ombr. Webo primeiro episódio de luxação do ombro tem incidência de 1,7% na população geral. É o tipo de luxação mais comum, respondendo por cerca de 45% dos. Websaiba o que é, para que serve e como é feito o rx de ombro, um exame de diagnóstico por imagem que evidencia as estruturas ósseas dessa articulação. Webeste documento fornece instruções sobre vários exames radiográficos do ombro, incluindo: Faça a colimação nos quatro lados da área de interesse. Suspenda a respiração durante a exposição. Se a condição do paciente. Webexame de imagem radiológica utilizado no diagnóstico de lesões que afetem o ombro, sua articulação, anatomia e das estruturas ósseas próximas.

É um exame rápido, fácil de. Webo documento fornece instruções detalhadas para três incidências radiográficas do ombro: 1) incidência ap do ombro com rotação neutra, 2) incidência y da escapula ou perfil. Webveja abaixo as imagens de raio x demonstrando luxação no ombro direito. Imagens de raio x na posição ap do ombro direito. Veja mais imagens de fraturas e luxações. Webos autores apresentam uma modificação inédita dessa incidência radiográfica, com o objetivo de avaliar a relação anatômica da cabeça umeral com a. Não tente rodar o braço se houver suspeita de fratura ou luxação. (veja a rotina para. Webna incidência ap da porção proximal do úmero, dois terços laterais da clavícula e escápula superior são mostrados, incluindo a relação entre a cabeça do úmero e a cavidade.

For more information, click the button below.

A colimação deve ser feita nos quatro lados da área de interesse. A técnica de respiração é preferível se o paciente puder co­operar. O paciente deve ser. Crânio, coluna, bacia e membros) marque seu exame Webaprenda as incidências radiológicas para avaliar as patologias mais frequentes do ombro, como trauma, síndrome do impacto, instabilidades e artrose.

Veja desenhos, imagens reais e rx revelados.

POSICIONAMENTO: ROTINA OMBRO

Entre na Turma do Radiologando e aprenda muito mais Radiologia: ...

Tags

RX De OmbroIncidências RadiografiaDe Ombro Incidencias IncidênciaDe Ombro Raio X OmbroEsquerdo Raio X De OmbroPerfil Raio X De OmbroAxilar Incidencia Raio XDemos Raio X DeMembros Superiores Raio XOmoplata ÚmeroRaio X Codigo DoRaio X Do Ombro Raio X De OmbroNormal E Deslocado Raio XEscápula Raio X OmbroPatologias AxialDe Ombro IncidenciaEspecial Ombro Ombro IncidenciaInterna Bomtrager Raio X De OmbroFlexionado Raio XCintura Escapular Incidencia De OmbroBernageur Incidência DeSchuss Ombro Raio X OmbroXilar Incidencia OmbroVelpeau Incidências De OmbroOutlet Viewer Quais IncidenciasRadiograficas Ombro Raio X Do OmbroDireito Esquerdo Tamanho De IncidenciaDo Braço Raio X OmbroAP Anatomia RadiograficaOmbro Raio XDos Membros Superiores Incidencia Especial DeDucroquet Na RADIOLOGIA ArtroseDe Ombro Sinal DeVernet Ombro IncidenciaEscapula Lateral Ombro Luxação De OmbroRX Radiografia De OmbroNa Incidencia Anteroposterior AP De OmbroRotação Neutra Fratura NoOmbro Raio X Articulação DoOmbro Raio X RX De OmbroPosicionamento Raio X De OmbroEsquerdo Incidencia Acromioclavicular Sinal DeLaf Ombro Direito Incidencia AP De OmbroVerdadeiro Incidencia De OmbroPerfil Transtoracica Incifências RadiografiaOmbro Raio X Do OmbroMetodo De Serendipity Sinal DeLaffont Ombro Direito IncidenciaOmbroo AP Plano Coronal Radiografia De OmbroDireito Normla Imagem Radiografica De OmbroAP E Perfil
Author

Emelie

Como mentor, minha dedicação é total ao desenvolvimento dos alunos no ambiente escolar, empregando métodos pedagógicos que priorizam conexões genuínas e são alimentados por criatividade e paixão. Minha missão é orientar os estudantes em sua jornada para se tornarem uma geração notável, utilizando abordagens educacionais reconhecidas pelas principais instituições acadêmicas do mundo - dsw.aau.edu.et.

Related Posts