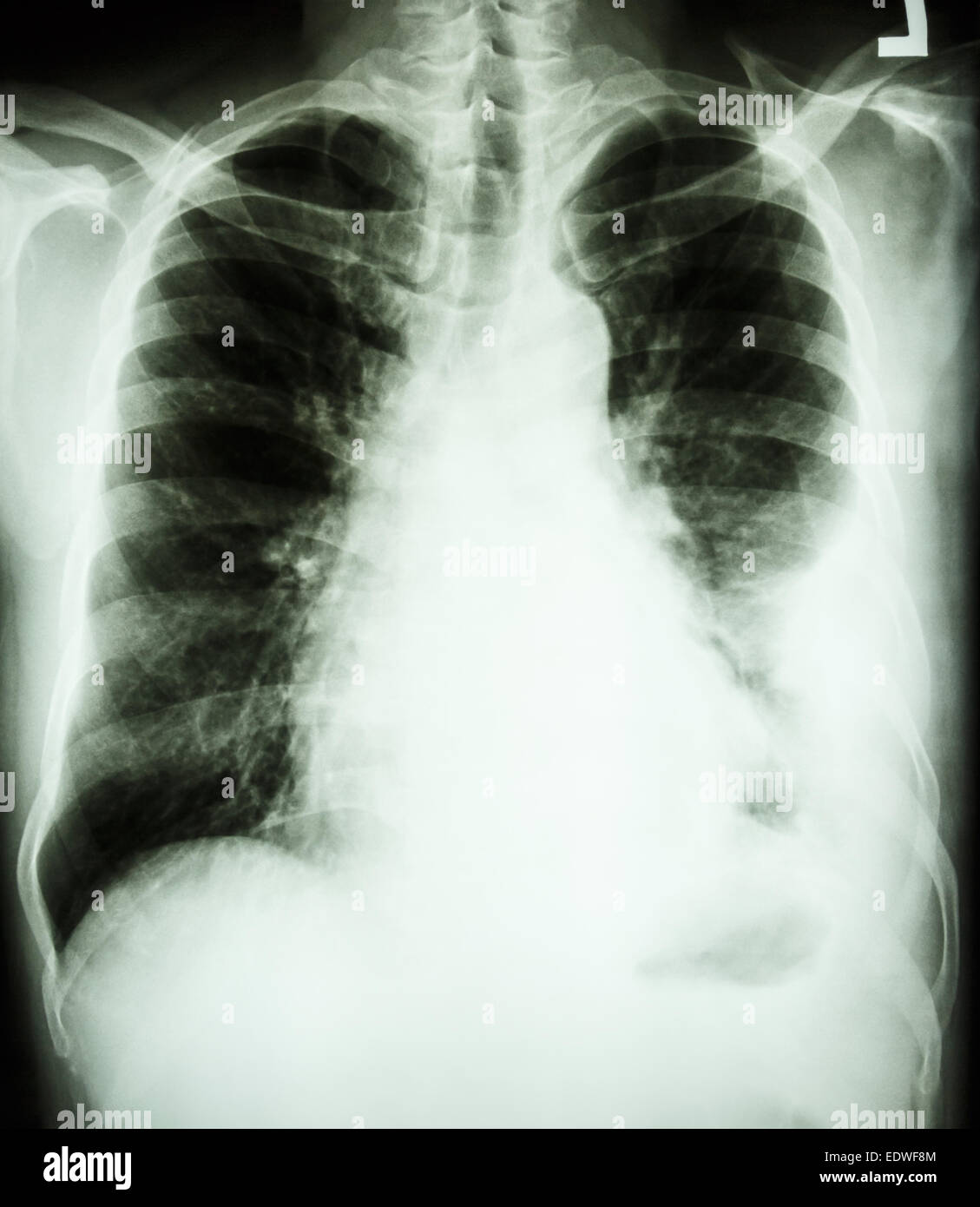
Raio X De Derrame Pleural

DICAS DE RADIOLOGIA - Tudo Sobre Radiologia: PRINCIPAIS DOENÇAS

Raio X De Derrame Pleural

Webo derrame pleural é o acúmulo excessivo de líquido no espaço pleural, sendo normalmente uma complicação que surge devido a problemas como pneumonia,. Webas principais causas de derrame pleural são: Tuberculose (geralmente é unilateral. Webla homeostasia resultante deja 5 a 15 ml de líquido en el espacio pleural normal. Un derrame pleural es una acumulación anormal de líquido en el espacio pleural. Webpronto, suspeitei de um derrame pleural no meu exame físico, agora só preciso confirmar. O jeito mais simples de fazer isso é solicitando um raio x de tórax, um exame simples,. O diagnóstico é feito com. Webo derrame pleural é o acúmulo anormal de líquido no espaço pleural (o espaço entre as duas camadas da membrana fina que reveste os pulmões). O líquido pode se acumular.

Weba american thoracic society classifica a reação pleural como um processo infeccioso em três fases anatomopatológicas consecutivas; Fase aguda ou exsudativa, inicial,. Websaiba o que é derrame pleural, como é feito o exame de radiografia do tórax em posição lateral e quais são as vantagens e desvantagens desse método. Webum derrame pleural acontece quando líquido se acumula entre as superfícies pleurais parietal e visceral do tórax. Uma camada fina de líquido está. Weba radiografia em decúbito lateral com raios horizontais (fig. 1) é mais sensível do que a em posição ortostática para o diagnóstico de derrame pleural e pode demonstrar coleção. Webapós idas e vindas ao hospital regional de aquidauana, distante 41 quilômetros de campo grande, somente na terceira consulta os pais de uma criança de. De forma geral, precisa. Webessa semana no portal da pebmed falamos sobre orientações para o manejo de pacientes com derrame pleural.

For more information, click the button below.

Raio X De Derrame Pleural

derrame pleural

Por isso, em nossa publicação semanal de. Contudo, em casos de doenças que afetam a pleura, pode haver acúmulo de líquido nesse espaço, dando origem ao derrame pleural. Webem geral, a radiografia na incidência posteroanterior é capaz de detectar derrames pleurais a partir de 200ml, enquanto a incidência em perfil é mais sensível e detecta derrames. Se esse conteúdo foi útil para você, curta a publicação para que ela alcance mais colegas.

Tags

Derrame PleuralNo Raio X ImagensDe Derrame Pleural Derrame PleuralRaixo X Derrame PleuralTC RXDe Derrame Pleural RadiografiaDe Derrame Pleural Derrame PleuralTomografia De Torax Derrame PleuralLaminar Radiografia DeUn Derrame Pleural Derrame PleuralImagem Derrame PleuralEm Raio X Derrame EuralRaio X Derrame PlueralRaio X Derrame PleuralRaiou X Derrame Pleural NaTomografia Derrame PleuralRX Lateral Sinal DeLitten Derrame Pleural Sinal Do MeniscoDerrame Pleural DerrmamePleural Raio X Raio X PerfilDe Derrame Pleural Derrame PleuralDecubito Lateral Derrame Pleurala Direita Raio X DerrameArticular Derrame PleuralRADIOLOGIA Raio X DerramePelural Sinal De Lemos TorresDerrame Pleural Radiografia DeTórax Derrame Pleural Derrame PleuralPequeno Volume Derrame Pleurala Esquerda RX De Pulmão ComDerrame Pleural Criança ComDerrame Pleural Derrame PleuralPreto No Raio X Linha PleuralVisivel Raio X Câncer DePulmão Raio X Hemopneumotorax vsDerrame Pleural Raio X RX ConDerrame Pleural Derrame PleuralLaurell Raio X Derrame PleuralLinha De Demoiseau Derrame Pleural Raio XPaciente Feminina Derrame PleuralRX AP TuberculoseDerrame Pleural Pleura Raio X Raio X DeCardiomegalia Tipos De CisurasRaio X De Tórax Raio X Derrame PleuralBilateral Derrame PleuralSanguinolento Derrame Pleural Raio XPA Velmento Homogeneo Derrame PleuralExsudato Raios De Derrame Pleural Sinal De Derrame PleuralNo Fast
Author

Emelie

Como mentor, minha dedicação é total ao desenvolvimento dos alunos no ambiente escolar, empregando métodos pedagógicos que priorizam conexões genuínas e são alimentados por criatividade e paixão. Minha missão é orientar os estudantes em sua jornada para se tornarem uma geração notável, utilizando abordagens educacionais reconhecidas pelas principais instituições acadêmicas do mundo - dsw.aau.edu.et.

Related Posts