Nevo Azul é Perigoso

Nevus azul - ¿Necesito preocuparme si tengo un lunar azul en la piel?

Nevo Azul é Perigoso

Webapesar de as pintinhas ou nevos serem consideradas, em alguns casos, um charme, elas podem ser sinais de problemas mais graves. Por isso é muito importante que o médico. Webo nevo azul é lesão pigmentada da pele localizada na derme e na hipoderme constituída por melanócitos (células que dão cor à pele). Mais comum em mulheres brancas, surge. Weba presença de múltiplos nevos melanocíticos é um conhecido e importante fator de risco para o melanoma. É importante lembrar que nem todos os. Um nevo é uma coleção benigna de células produtoras de pigmento (melanócitos) na epiderme, na derme ou em ambas. Pode se manifestar no. Webo nevo acrômico ou depigmentoso é uma mancha na pele caracterizada pela falta de melanina (hipopigmentação). O nevo branco esponjoso é uma mancha clara, benigna e.

Webse um nevo começar a doer, coçar, sangrar, desenvolver pele rachada, ou se apresentar algum sinal de advertência de melanoma, os médicos podem fazer uma biópsia. Webaumentam de pigmentação e tamanho durante a puberdade, gestação, corticoterapia e exposição ao sol. Exposição constante e intensa ao sol em crianças leva a um maior. Webo que é nevo azul é perigoso? Na maior parte dos casos, o nevo azul é uma alteração benigna da pele que não coloca em risco a vida e que, por isso, não precisa ser retirado. Webo nevo azul é uma lesão da pele que causa manchas azuladas devido à proliferação de melanócitos, células responsáveis pela produção de melanina. Webo nevo azul é perigoso? O nevo azul é, na maioria dos casos, uma alteração benigna da pele que não apresenta riscos à saúde. Por isso, não é. Webas localizações mais comuns do nevo azul maligno são o couro cabeludo, pés e tronco;

For more information, click the button below.

Nevo Azul é Perigoso

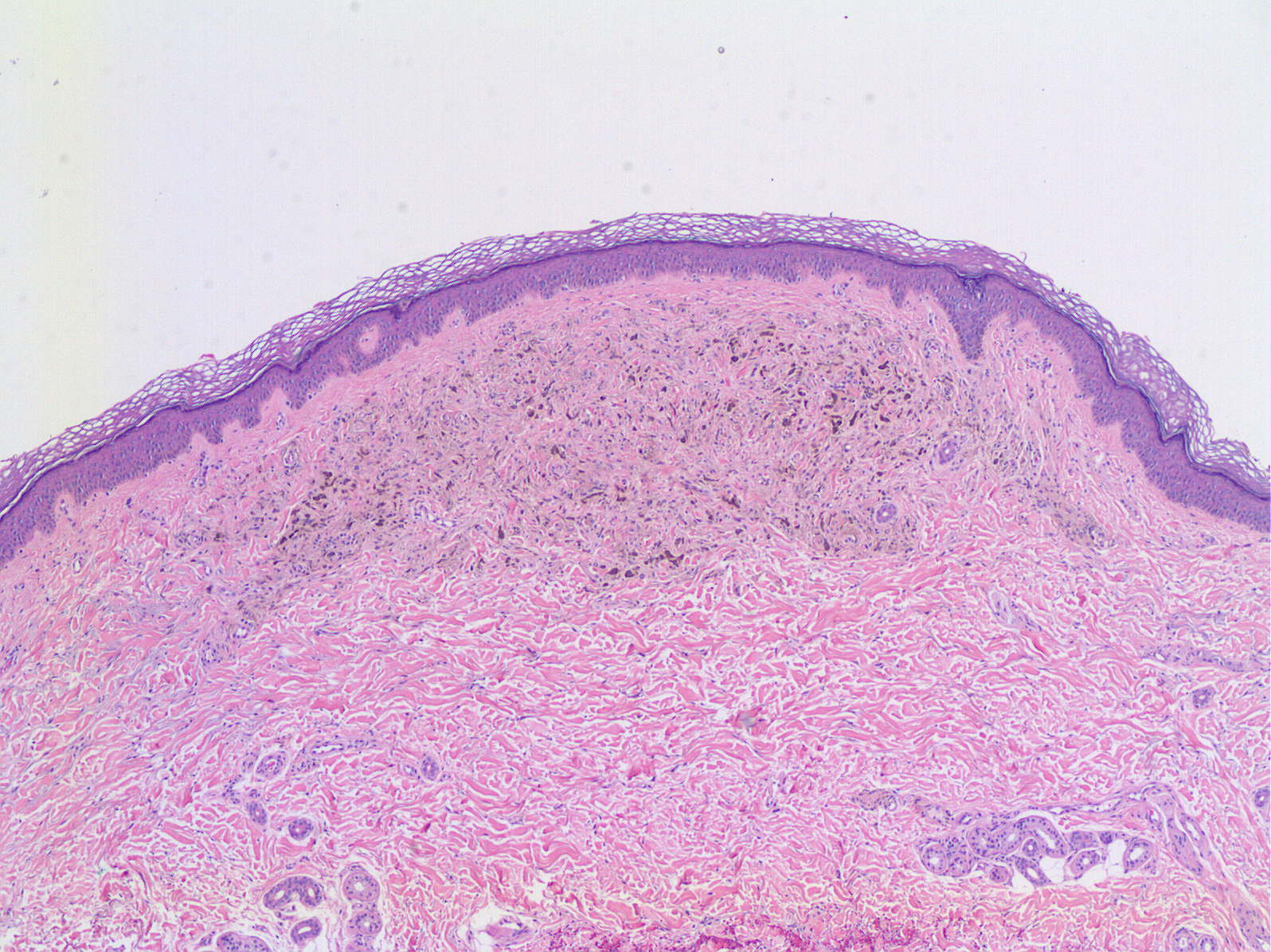
nevo usp lesão circunscrita pequena azulada bem

Nevo Azul é Perigoso

nevo usp superficial delimitada lesão derme 40x

Nevo Azul é Perigoso

nevo atlas usp delimitada lesão superficial derme 40x

Face, mãos, pescoço e coxas. Webo nevo é uma doença caracterizada por lesões pigmentadas na pele, que podem ser congênitas ou adquiridas. Os nevos podem variar em tamanho, forma, cor e textura e. Podem ter pelos dentro de si ou não. Durante a gravidez, os nevos.

Nevos melanocíticos são pequenas manchas marrons regulares na pele, salientes ou não. São popularmente conhecidos por pintas e sinais. Webnevo melanocítico é uma lesão benigna da pele, conhecida como pinta, mancha ou sinal, e que possui características como cor marrom, formato redondo ou oval e bordas bem. Webo nevo azul é um “sinal” ou mancha escura pequena causada por melanócitos (células pigmentares que dão cor à pele) localizados na porção intermediária da pele. Webum nevo azul é um tipo de benigno crescimento (não canceroso) composto por células especializadas chamadas melanócitos. É caracterizada por sua cor azul ou cinza. Por the manual's editorial staff. Visualizar a versão para profissionais de saúde. Obtenha os detalhes completos. Weba presença de mitoses, ulceração, infiltração, atipia citológica ou necrose pode ocorrer no nevo azul celular atípico e dificultar a diferenciação com nevo azul maligno/melanoma.

Tags

LivroPerigoso ViverÉ Perigoso Comb JellyÉ Perigoso Animal PerigosoQue É Cego AnimaisPerigosos Rincar La ForaÉ Perigoso Viver É PerigosoMeme AraquariÉ Perigoso Viver É Muito PerigosoGuimarães Rosa Quadro CrescerÉ Perigoso TudoÉ Perigoso Qual ÉO Animal Mais Perigoso Do Mundo Viver Sem LerÉ Perigoso Charge Da MafaldaÉ Perigoso QuãoPerigoso É VidigalÉ Perigoso Capa Do Lovro CrescerÉ Perigoso Qual É O Animal Mais PerigosoDo Mundo Que Já Foi Extinto AvisoPerigoso Aonde ÉMais Perigoso Unamar Qual AnimasPerigoso Animais Que Voce Nao Pode Ver PorqueÉ Perigoso Ensinando Oque É PerigosoPara Criança Ao Que Acontece Que Ninguem Ve QueÉ Perigoso Viver Sem CriticarÉ Perigoso 128 BPMÉ Perigoso JogoPerigoso O Mais Perigoso ÉUma Ideia Filme a Origem Frase VideoPerigoso Que Não Pode Ingerir Por Que Faz Você Que IssoÉ Perigoso Animal Mais PerigosoDo Mar Crescer É PerigosoLivro Infantil Viver ÉUm Negócio Muito Perigoso Guimarães Rosa Quadro Parte De Traz Capa Do Lovro CrescerÉ Perigoso Livro De Marcia Kepstun CrescerÉ Perigoso Alerta Perigo ConfrontosPerigosos Sumário Do Livro CrescerÉ Perigoso Qual ÉO Tubarão Mais Perigoso Do Mundo Pr4odutoPerigoso Cartaõ Com AparenciaestranhaÉ Perigoso Passar Endolasy E EndroliftyÉ Perigoso Imprimir a HistóriaPerigoso SitePerigoso InsetosPerigosos Brevê ProdutosPerigosos Ícone Perigo Animais PerigososDo Brasil Viver Sem LerÉ Perigoso Mafalda Ain MotoÉ Perigoso
Author

Emelie

Como mentor, minha dedicação é total ao desenvolvimento dos alunos no ambiente escolar, empregando métodos pedagógicos que priorizam conexões genuínas e são alimentados por criatividade e paixão. Minha missão é orientar os estudantes em sua jornada para se tornarem uma geração notável, utilizando abordagens educacionais reconhecidas pelas principais instituições acadêmicas do mundo - dsw.aau.edu.et.

Related Posts