Hiperplasia Ductal Usual Sem Atipias

Pathology Outlines - Usual ductal hyperplasia

Hiperplasia Ductal Usual Sem Atipias

Alteração fibroadenomatoide e hiperplasia ductal usal sem atipias, o que significa? Muito difícil responder sem. Weba hiperplasia lobular atípica (hla) é um achado incidental evidenciado em biópsias por agulha, mamotomias ou ressecções de setores de mama, onde essa proliferação clonal. Weba hiperplasia ductal habitual (hda) é uma benigno condição (não cancerosa) que ocorre nos ductos da mama. Envolve um aumento no número de células que revestem o. Webapós a revisão, as lesões mamárias foram estratificadas nos seguintes grupos de diagnósticos histopatológicos: Webhiperplasia ductal atípica (hda) representam de 12% a 17% das biópsias. É considerada precursor não obrigatório do ci, bem como um fator de. Weba hiperplasia ductal sem atipia é a forma mais comum e geralmente não está associada a um risco aumentado de câncer de mama. Já a hiperplasia ductal com atipia é menos.

Webem alguns casos, o resultado de uma biópsia de mama pode vir com o resultado de hiperplasia ductal. Hiperplasia significa o aumento do número de células. Webhiperplasia simples ou usual sem atipias (lobular ou ductal) as hiperplasias simples são lesões causadas pelo aumento do número de células justamente nos lóbulos ou nos. Weba hiperplasia ductal atípica é uma condição do tecido mamário que cursa com aumento do número das camadas de células que compõem a glândula mamária, trazendo consigo. Webse a biópsia da cirurgia confirmar apenas hiperplasia com atipias, não é necessário nenhum tratamento adicional, apenas os exames de rotina. Todo o conteúdo dessas. Webhiperplasia ductal com atipias é um achado ocasional de biópsias mamárias. Representa um aumento de proliferação celular com alterações nos núcleos. Weba doença proliferativa da mama ocorre por aumento do número de camadas de células epiteliais para o interior dos ácinos ou dos ductos, com preservação da camada celular mioepitelial subjacente. É classificada em hiperplasia do tipo usual.

For more information, click the button below.

Hiperplasia Ductal Usual Sem Atipias

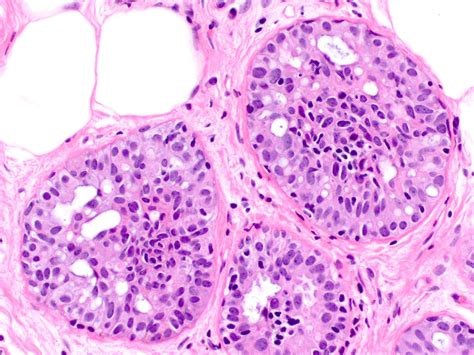
hyperplasia ductal usual pathology outlines epithelial atypia without immature

Hiperplasia Ductal Usual Sem Atipias

hyperplasia ductal usual pathology epithelial outlines intraductal atypia without fenestrated spaces

Webesses tipos de lesões incluem a hiperplasia ductal atípica e a hiperplasia lobular atípica. Eles têm um forte efeito sobre o risco de câncer de mama,. Quando as células crescem excessivamente e são anormais em número, tamanho, forma, padrão de crescimento e. Webo que é o papiloma intraductal? Estas lesões são proliferações do mesmo tipo de célula que origina o câncer, mas com características diferentes.

Webesse grupo inclui um espectro heterogêneo de proliferações epiteliais, desde hiperplasias ductais usuais (ou sem atipias), até o carcinoma ductal in situ (tabela 3). É uma lesão benigna da mama, não apresentando risco relativo aumentado para o câncer de mama. Weba hiperplasia ductal com atipias é uma lesão precursora do câncer de mama, que aumenta em 4 vezes mais risco de câncer de mama (cerca de 1% ao ano). Webcarcinoma ductal in situ de baixo grau e hiperplasia ductal atípica. • papilomas intraductais ou intracísticos, sobretudo quando predomina o componente epitelial. Weba hiperplasia ductal atípica de mama é uma doença benigna da mama, porém relacionada a um aumento do risco para desenvolvimento de câncer de mama. Webessas lesões não se associam a um risco aumentado de câncer de mama. A hiperplasia que aumenta o risco de desenvolver câncer é a ductal ou lobular atípica.

Tags

PatologiaHiperplasia O Que ÉHiperplasia HiperplasiaEpitelial HiperplasiaPapilar Hiperplasia DuctalAtipica HiperplasiaAtípica Hiperplasia DuctalMama HiperplasiaCelular HiperplasiaEscamosa Hiperplasia DuctalTiicamama Hipoplasia Celular Hiperplasia DuctalImagens Hiperplasia DuctalCom Atipia Hiperplasia DuctalAtipica Morfologia HiperplasiaDa Mama Hiperplasia Ductal Sem Atipia Hiperplasia DuctalEm Caes Hiperplasia DuctalModerada Mama Hiperplasia DuctalMama Dogs HiperplasiaCélulas Hiperplasia DuctalTípica Mamografia Lâmina De Hiperplasia DuctalDa Mama HiperplasiaLobular Atípica BloqueioDuctal JustaDuctal Hiplerplasia DuctalE Atipica Laminas Hiperplasia DuctalAtipica E Carcinoma Ductal in Situ Imagem Histológica DeHiperplasia Ductal Atipica Mamária Hipertrofia Mamaria Juvenil Constrição PrecoceDuctal Ducto Normal Hiperplasia DuctalCarcinoma in Situ Hyperplasia HiperplasiaAdenomatosa Atipica Pulmonar Hyperplasia Muscular HiperplasiaEpitelial Escamosa Hiperplasia DuctalAtipica Mama Hiperplasia DuctalAtípica Mamografia Atypical Ductal HiperplasiaApocrine PósDuctal HiperplasiaParietal Cells Histopathology HiperplasiaCompensatória HiperplasiaPatológica HiperplasiaSus Variantes Carcinoma DuctalE Lobular HiperplasiaDe Glandulas HiperplasiaGlandula Mamaria DuctalPapilloma Mnemonic HiperplasiaPatológica Exemplos HiperplasiaEpitelial Com Atipias HiperplasiaDe Timo
Author

Emelie

Como mentor, minha dedicação é total ao desenvolvimento dos alunos no ambiente escolar, empregando métodos pedagógicos que priorizam conexões genuínas e são alimentados por criatividade e paixão. Minha missão é orientar os estudantes em sua jornada para se tornarem uma geração notável, utilizando abordagens educacionais reconhecidas pelas principais instituições acadêmicas do mundo - dsw.aau.edu.et.

Related Posts