Freio Labial Superior Bebê

Freio teto labial persistente em bebês: sintomas e tratamento - Melhor

Freio Labial Superior Bebê

Este trabalho tem como objetivo apresentar o caso clínico de paciente com nove anos de idade, na fase do patinho feio, com freio labial superior hipertrófico associado. Web — meu bb está nascendo os dentes e fico sempre observando (tentando!) a evolução dos dentinhos, desde o 6 mês suspeitei que o freio superior do. Webfrênulo labial, também conhecido como “freio labial”, é um tecido localizado no lábio e que se conecta com a gengiva. Basicamente, tem a função de estabilizar a linha média do. Web — para a remoção total do freio labial é indicada uma cirurgia denominada de frenectomia labial. O objetivo deste estudo é relatar dois casos. Web — segundo delmondes et al. (2021) o freio labial superior está localizado na face interna do lábio na linha mediana, na junção dos maxilares e tem. Webo freio labial superior é uma estrutura anatômica triangular que sofre alterações de forma, função e posição durante o desenvolvimento da criança. Um deslocamento para a.

Web — freio labial (ou frênulo labial) limita a movimentação dos lábios e auxilia na fala. Tanto o freio labial superior quanto o freio labial inferior cumprem a. Web — já o freio labial se encontra na arcada superior, conectando o tecido gengival ao lábio. Caso esse tipo de membrana for muito largo ou longo pode influenciar. Webo freio labial superior é uma estrutura dinâmica sujeito a variações na forma, tamanho e posição durante os diferentes estágios de crescimento e desenvolvimento do indivíduo. Weba frenectomia, nada mais é que um procedimento cirúrgico simples que deve ser realizado para remover o freio lingual ou labial, em bebês ou crianças. Webo freio labial superior é uma estrutura fibrosa que se localiza entre os dentes da frente (incisivos centrais). Eles têm sua origem na parte interna do lábio superior, e sua. Web — a frenectomia lingual é um procedimento cirúrgico realizado em bebês para corrigir um freio lingual curto ou apertado. O freio lingual é uma pequena.

For more information, click the button below.

Freio Labial Superior Bebê

labial frenectomia

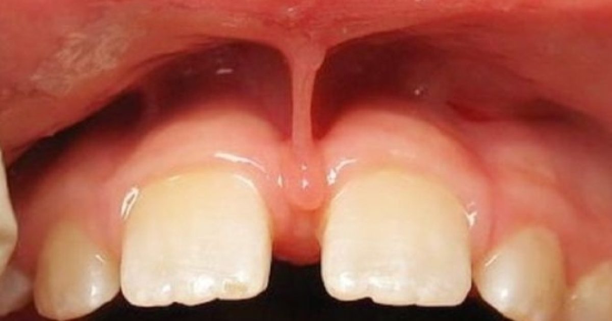
Webfreios labiais (superior e inferior), localizados na linha mediana, sendo visíveis quando levantamos o lábio superior ou baixamos o inferior, e que se estendem desde o interior.

Freio labial e lingual, avaliação em um bebê de seis meses.

Tags

Freio LabialInferior Freio LabialBebe FrenectomiaLabial Superior Freio BocaSuperior Bebê Freio Teto LabialPersistente Freio LabialLateral Freio LabialCriança Remoção DeFreio Labial Freio Labial SuperiorNormal Freio LabialEm Um Bebe Freio LabialNa Criança Freio LabialCorte Cirurgia De FrenectomiaLabial Superior Freio LabialDe Bebes Apendice DoFreio Labial Pessoas ComFreio Labial Verruas EmFreio Labial SorrisoFreio Labial Superior PanoramicaFreio Labial Superior Freio LabialEm Crianças Freio Labial SuperiorAbrindo Mordida Freio Labial SuperiorNormais vs Alterado Freno Labio SuperiorPreso Bebe Freio LabialInfantil Freio Labial SuperiorGrande Freio LabialCom Porta Agulha Bebe Freio LabialInserido Corte FreioLingual Bebe Freio Labial SuperiorDentição De Leite Freio LabialCom Inserçao Baixa FreioOrai Do Bebê Freno LabialFisioterapia Imagem Freio LabialBaixo Freio LabialInferior Desenho Freios Labial SuperiorNormal Bolinha Proxima AoFreio Superior Labial Freio Labial SuperiorCom Insercao De Papila Respiração FrenoLabial Inserção DoFreio Labial Superior Labio SuperiorFino Bebe O Que É OFreio Labial Freio LabialCurto Freio LabialCrianças 1 Ano Freio LabialInferior Emflamado Frênulo Do LábioSuperior Freio LabialQual E O Normal Protocolo DeFreio Lingual Bebê FreioDental FreioCurto Bebé Freio SuperiorDa Boca Colado Em Bebê
Author

Emelie

Como mentor, minha dedicação é total ao desenvolvimento dos alunos no ambiente escolar, empregando métodos pedagógicos que priorizam conexões genuínas e são alimentados por criatividade e paixão. Minha missão é orientar os estudantes em sua jornada para se tornarem uma geração notável, utilizando abordagens educacionais reconhecidas pelas principais instituições acadêmicas do mundo - dsw.aau.edu.et.

Related Posts