Derrame Pleural A Esquerda

Pneumonia com derrame pleural: tudo que você precisa saber - Medway

Derrame Pleural A Esquerda

Webcurso de diagnóstico por imagem do tórax. Webo derrame pleural resulta de um desequilíbrio entre a produção e a reabsorção do líquido pleural. Normalmente, o espaço pleural contém uma quantidade. Webo derrame pleural, ou água no pulmão, é o acúmulo de líquidos dentro da pleura, membrana que reveste o pulmão. Esse acúmulo comprime o órgão e. Webo derrame pleural se caracteriza pela presença de acúmulo de líquido na cavidade pleural, que é recoberta pela pleura, uma membrana fina, formada por duas camadas, e. Webo derrame pleural é o acúmulo excessivo de líquido no espaço pleural, sendo normalmente uma complicação que surge devido a problemas como pneumonia,. Webum derrame pleural é um acúmulo de líquido no espaço pleural, uma área entre as camadas de tecido que revestem os pulmões e a cavidade torácica. Webo que é derrame pleural? Localizadas no interior da caixa torácica, as pleuras são duas membranas finas e úmidas, cuja função é ajudar o pulmão a deslizar ao se expandir e.

Webum derrame pleural acontece quando líquido se acumula entre as superfícies pleurais parietal e visceral do tórax. Uma camada fina de líquido está. Unilateral (só à esquerda ou só à direita), ocorre por exemplo em. Webo derrame pleural maligno (dpm) ou neoplásico é definido pela presença de células malignas do líquido pleural e seu surgimento geralmente está. Webo derrame pleural é o acúmulo anormal de líquido no espaço pleural (o espaço entre as duas camadas da membrana fina que reveste os pulmões). O líquido pode se acumular. Webo derrame pleural é uma enfermidade que pode causar muito desconforto ao paciente, limitando sua capacidade respiratória, por causar dor ao. Derrame pleural decorre do desequilíbrio entre produção e absorção do líquido. Podendo ocorrer mais de. Webderrame pleural é o acúmulo anormal de líquido na cavidade pleural, espaço entre o pulmão e a pleura visceral — membrana externa que cobre o órgão.

For more information, click the button below.

Derrame Pleural A Esquerda

pleural derrame sintomas causas anatomia

A incidência em decúbito. Webo derrame pleural é caracterizado pela presença de excesso de líquidos no espaço pleural. A passagem de líquido para o espaço pleural pode ser. Webo derrame pleural se caracteriza pelo aumento atípico do nível do líquido que fica entre as pleuras. Vários fatores podem levar ao.

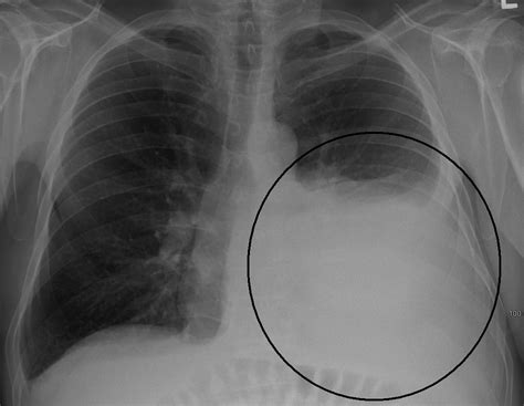
Webun derrame pleural es una acumulación anormal de líquido en el espacio pleural. Webderrame pleural é definido como acúmulo de líquido no espaço pleural. Normalmente, esse espaço está preenchido por uma fina camada de líquido. Webnas radiografias em pa, vemos dois pacientes com derrame pleural à esquerda, com sinal da “parábola de damoiseau” marcado em azul.

Derrame Pleural

Fala galera, beleza? Na aula de hoje, nosso tema é: Derrame Pleural, espero que gostem e qualquer dúvida é só deixar nos ...

Tags

Derrame PleuralBilateral Derrame Da Pleura Derrame PleuralTratamento Derrame Pleural aDireita LiquidoPleural RadiografiaDerrame Pleural CavidadePleural Derrame PleuralUSG Derrame PleuralDrenagem Derrame PleuralPequeno Derrame PleuralRX Derrame PleuralTC O Que ÉDerrame Pleural Derrame PleuralImagem Derrame PleuralDesenho AguaNa Pleura EspessamentoPleural Derrame PleuralExtenso Derrame PleuralSeptado DerramePleurais Derrame PleuralDireito TuberculoseDerrame Pleural Derrame PleuralExsudato Tratamento DoDerrame Pleural Derrame Pleural NaTomografia Derrame PleuralPNG RX ToraxDerrame Pleural Derrame PleuralPneumonia Derrame PleuralSanguinolento TrtamentoDerrame Pleural Derrame PleuralNo Raio X Derrame PleuralToracocentese Derrame PleuralLeve CirurgiaDerrame Pleural Derrame PleuralPaciente Derrame PleuralIlustração Sinal De MeniscoDerrame Pleural Derrame PleuralAnatomia Derrame PleuralLoculados Epidemiologia DoDerrame Pleural Derrame PleuralAnimação QuantificaçãoDerrame Pleural Sinal De LittenDerrame Pleural Derrame PleuralUltrasssom Derrame PleuralExsudato E Transudato Derrame PleuralFotos Derrame PleuralComplexo Derrame PleuralFoto Derrame PleuralExame Físico Derrame PleuralMaligno
Author

Emelie

Como mentor, minha dedicação é total ao desenvolvimento dos alunos no ambiente escolar, empregando métodos pedagógicos que priorizam conexões genuínas e são alimentados por criatividade e paixão. Minha missão é orientar os estudantes em sua jornada para se tornarem uma geração notável, utilizando abordagens educacionais reconhecidas pelas principais instituições acadêmicas do mundo - dsw.aau.edu.et.

Related Posts