A Deficiencia De Lipase

Deficiência de Lipase Ácida Lisossomal | BioTécnica

A Deficiencia De Lipase

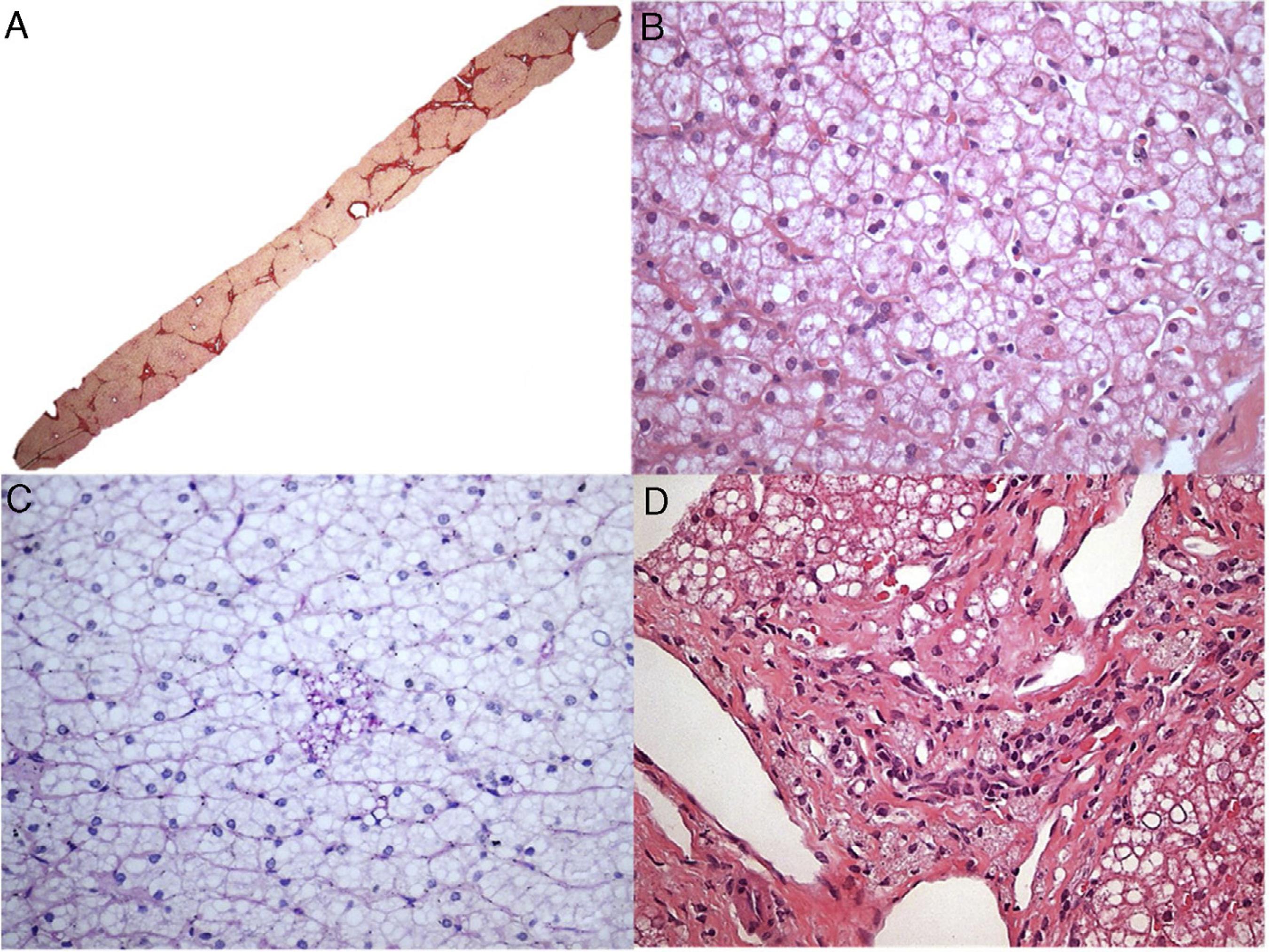
Weba síndrome da quilomicronemia familiar (sqf), ou deficiência da lipoproteína lipase, é uma doença genética rara que afeta o metabolismo de gorduras. Weba doença de wolman e a doença de depósito de ésteres de colesterol (ddec) são raras e causadas pela deficiência parcial ou total da lipase ácida lisossomal (lal),. Weba lipase ácida lisossômica (lal) é enzima codificada pelo gene lipa e a deficiência dessa enzima leva a uma desordem lisossômica genética denominada deficiência da. Weba deficiência de lipase ácida lisossomal (lal) é uma doença hereditária, genética, crónica, e progressiva, causada pela diminuição da atividade dessa enzima. Webdoença de armazenamento de éster de colesteril e doença de wolman são esfingolipidoses, um distúrbio metabólico hereditário, causadas por deficiência da. Weba deficiência de lipase ácida lisossômica é uma doença hereditária associada a um gene do cromossomo 10. Os pais dos pacientes podem não saber que são portadores dos. Weba deficiência de lipase pode resultar em sintomas como diarreia, esteatorreia (fezes gordurosas), perda de peso e fraqueza. Em casos mais graves, a falta de lipase pode. Afeta a capacidade do corpo de produzir uma.

Webo que é a deficiência de lipase ácida lisossomal? Webdeficiência de lal potencialmente pode levar à fibrose hepatica, cirrose, insuficiência hepática e morte. O diagnóstico correto é o primeiro passo para o controle das graves e. Weba deficiência de lipase ácida lisossômica é uma doença hereditária associada a um gene do cromossomo 10. Os pais dos pacientes podem não saber que são portadores dos genes da doença até o nascimento do primeiro filho afetado. Weba doen lipase ida ou a deficicia da lipase do ido lisossomal (deficicia de lal) ocorre quando o corpo n cria enzimas lipase lisossicas oleosas suficientes. Webdescrever as características demográficas, clínicas, laboratoriais e moleculares de pacientes com deficiência de lipase ácida lisossomal. Webo que é a deficiência de lipase ácida lisossomal? A deficiência de lipase ácida lisossomal é uma doença hereditária do metabolismo do grupo das doenças lisossomais de. Webum novo medicamento para tratar a deficiência de lipase ácida lisossômica (lal) ganhou registro no brasil.

For more information, click the button below.

A anvisa aprovou o medicamento. Veja a correção da questão sobre deficiência da lipase ácida lisossômica (doença hereditária) adriane lopes (pp) em sabatina do g1ms; Webum novo medicamento para tratar a deficiência de lipase ácida lisossômica (lal) ganhou registro no brasil. A anvisa aprovou o medicamento. Weba deficiência da lipase ácida lisossomal é uma doença lisossomal de sobrecarga hereditária rara, que resulta da deficiência da enzima responsável pela transformação.

Tags

TiposDe Deficiencia O Que ÉDeficiência TipoDe Deficiência Todos OS TiposDe Deficiência Tipos De DeficienciaFisica SinônimoDe Deficiência DeficienciaAuditiva DeficienciasEm Gamers O Que São Deficiências DeficienciaX Tipos De Inteligencia DeficiênciaImagem Cientista Que TinhaDeficiencia Imagens DeficiênciaFisica DeficienciasPsiquicas O Que É Deficiencia4 Exemplos De DeficienciasQue Dificultam a Aprendizagem DeficienciaIntelectual DeficienciaSiginificado DeficienciaDoeal Pessoa DeficienciaFísica DeficienciaSiguinificado Dando Condição DeUm Ser Humaninhos Tens a Mesmos Condicoes
Author

Emelie

Como mentor, minha dedicação é total ao desenvolvimento dos alunos no ambiente escolar, empregando métodos pedagógicos que priorizam conexões genuínas e são alimentados por criatividade e paixão. Minha missão é orientar os estudantes em sua jornada para se tornarem uma geração notável, utilizando abordagens educacionais reconhecidas pelas principais instituições acadêmicas do mundo - dsw.aau.edu.et.

Related Posts